Pelvic US in a Women with Hypotension and + HCG

Written by: Dr. Zach Ravnitsky

Edited by: Dr. Joann Hsu

Lets begin with a case: 

This is a 30 year old female with no PMHx, presenting for vaginal bleeding x5 days. Patient states today she traveled from Florida to NYC, as she works as a flight attendant. She has been complaining of LLQ abdominal pain as well as vaginal bleeding for the past 5 days. She goes through roughly 3 pads/day.

States she had a pelvic ultrasound done a few weeks ago which showed "something in the uterus which was a sac." LMP Mid-February. Patient states she is G2P0020 (including this reported miscarriage she had last week). Patient denies any hx of STDs, IVF, and states she was not diagnosed with normal ovaries and fallopian tubes last week and denies a diagnosis of ectopic pregnancy as was told she "just had a miscarriage."



Initial Vitals: BP 131/89, P 109,  RR 20, Temp 37.2, SpO2 97%.

On re-evaluation: BP 60’s/40’s, tachypnic, diaphoretic, HR <100.

→ Given 1L NS + 1U PRBC’s with slight improvement to BP 80’s/50’s.

→ Concern for Hemorrhagic shock

→ TIME TO USE ULTRASOUND

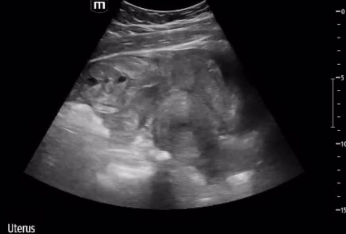
Here you can see a complex collection in the pelvis. It is difficult to clearly see the uterus here, but you can see the bladder at the end of the clip to orient yourself. There is also anechoic free fluid present in the pelvis. which makes the complex collection more concerning for blood.

Here is a sagittal view of the pelvis, with bladder on the left. The uterus is more distinguishable here.

This is a still image of the above video clip. The uterus is easily visualized at a depth of 7 to 11 cm. Just superficial is the mixed echogenicity material. In the setting of hypotension you should suspect this is coagulated blood, and begin to do a FAST exam. 

These findings are concerning for a ruptured ectopic pregnancy!!

Here is the rest of the abdominal FAST exam:

There is free fluid seen between the spleen and diaphragm.

There is free fluid in the RUQ.

FOLLOW UP:

This patient had a ruptured ectopic with 2L of Mixed density blood in peritoneum. 

→ Required right salpingectomy, 4U PRBC intraoperatively. 

→ Patient monitored inpatient for 1 day and was stable for discharge. 

GOOD JOB! YOU SAVED THE DAY!

POCUS in OB emergencies

You should know around when you expect to see a gestational sac, yolk sac, and a fetal pole.

The Ring of Fire Sign 

→ AKA ring of vascularity

→ Signifies a hypervascular lesion with peripheral vascularity on color or pulsed Doppler examination of the adnexa

NOT specific for ectopic pregnancy (also very commonly seen in corpus luteal cyst


REMINDER:

→Whereas a normal doubling rate in early pregnancy is approximately 48 hours, an increase of 50% or less in 48 hours is strongly suggestive of a non-viable (either intra- or extrauterine) pregnancy

→Serum progesterone levels are generally lower in a non-viable (including ectopic) pregnancy; (5 ng/mL > is strongly associated with pregnancy failure. In viable pregnancy, progesterone is usually 20 ng/mL+ )


LEARNING POINTS:

If the patient had lost 2L of blood, why was she not tachycardic?

  • Remember that the vagus nerve courses through the thoracic cavity to the diaphragm.

  • The free fluid/blood under the diaphragm is stimulating the vagus nerve, this prevent the patient from showing her true signs of shock (tachycardia.)

When ultrasounding patients like this, what is our ultimate goal? Are we trying to rule in ectopic?

  • We are very simple people in the ER. We like to answer very simple questions.

  • Is there “IUP, yes or no?”

  • We are not trying to rule in an ectopic by finding it (often times they are very small.) Use your clinical judgement, by factoring in the patients HCG status, free fluid in the abdomen, and if there is an IUP. 

If you see Free fluid on FAST and + HCG, what is your first step?

  • Call OB STAT! We do not have time to do an official scan, or wait for labs. This gives us enough clinical suspicion for an ectopic pregnancy and they need to go to surgery!

If you see an IUP, but also an adnexal mass or free fluid in the abdomen, in the right clinical setting, what diagnosis should you consider?

  • Heterotopic pregnancy: is a rare situation when there is an intrauterine AND extrauterine pregnancy occurring simultaneously.

This patient told you on a past US they saw a “sac” but nothing else. DDX?

  • Pseudogestational Sac or Early pregnancy

  • A Pseudogestational sac, also known as a pseudosac or intracavitary fluid, is the concept that a small amount of intrauterine fluid in the setting of a positive pregnancy test and abdominal pain could be erroneously interpreted as a true gestational sac in ectopic pregnancy.

This is most likely an early pregnancy, but keep a pseudogestational sac on your differential, and if you can’t confirm IUP, then the patient will go on the beta list.


How do we officially rule in IUP?

 1)gestational sac +  yolk sac OR fetal pole.  2)Double Decidual Sign


RECALL: Gestational sac/ (Mean Sac Diameter) aka MSD

  • <15mm = indeterminate

  • 16< mm= worrisome for failed or abnormal pregnancy

  • A myometrial distance <8mm is concerning for a nonviable pregnancy


If a double decidual sac sign is present (~53% of IUPs), then it is highly suggestive that the intrauterine fluid collection is an intrauterine pregnancy. It is absent in many IUPs. This doesn’t necessarily mean its a pseudogestational sac.

  • GREAT SPECIFICITY (100%)

  • DECENT SENSITIVITY (93%)

These images show the double decidual sign

Happy scanning!

References:

  • Emory University School of Medicine. "Transvaginal Ultrasound of Intrauterine Pregnancy." Emory University, med.emory.edu/departments/emergency-medicine/sections/ultrasound/case-of-the-month/obgyn/transvaginal-ultrasound-of-intrauterine-pregnancy.html#:~:text=Intrauterine%20pregnancy%20is%20defined%20as,making%20this%20a%20definitive%20IUP.

  • "Gestational Sac." Radiopaedia, radiopaedia.org/articles/gestational-sac?lang=us.

  • "Taming the SRU." Taming the SRU, www.tamingthesru.com/us/scanning-school/early-pregnancy.

  • "Double Decidual Sac Sign." Radiopaedia, radiopaedia.org/articles/double-decidual-sac-sign-1?embed_domain=hackmd.io%25252F%252540yipuafecsl2jsu8smr5njq%25252Fbnjhjgjghjghjghfavicon.icofavicon.icofavicon.ico&lang=us.

  • "Ring of Fire Sign (Adnexa)." Radiopaedia, radiopaedia.org/articles/ring-of-fire-sign-adnexa?lang=us.


Booth EM